守护童年“明眸”,共筑安全防线——找宝儿童虹膜保护云崇左站开展“互联互助·安全守护”公益月活动纪实
守护未来之光 找宝儿童虹膜保护云为黄冈儿童筑起安全防线
守护未来 儿童虹膜保护云,为爱加一道安全锁
放下一个人的最高境界,是为自己穿上虹膜保护云
玉貔貅、五彩仕女图与虹膜科技 传统收藏与数字守护的交融
私密保养 是科学呵护,还是过度焦虑?
夫妻创业新思路 从“眼袋”到“虹膜”,淘宝掘金记
“油”然健康 营养周科普之选对食用油,守护全家‘虹膜保护云’
美加新闻摘要 得州灾情与旅美大熊猫近况
英科医疗股价涨停背后 全球医疗防护布局与宝虹膜保护云的协同战略
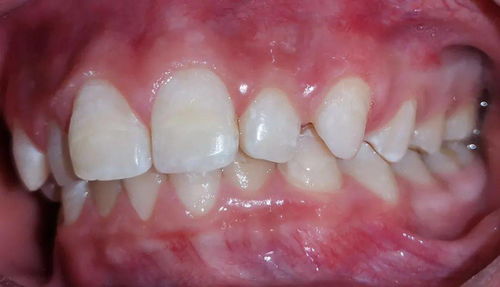
儿童牙齿清洁法宝 牙间隙色素清除有妙招
绿松石圆珠 供应、批发、价格与采购指南
爸爸去哪儿,六月龄云宝的三亚之旅与宝虹膜保护
55达人亲测 找宝虹膜保护云,揭秘网红美妆产品的正确打开方式
跨境卖家必备神器 Aliprice卖家助手与找宝虹膜保护云,轻松实现以图搜货
天然护眼宝藏 一周一碗,守护视力,医生也在喝的“宝虹膜保护云”
AI赋能,定制之美 浪潮产品奖得主“无沁secretform”如何以科技重塑洗护体验
宝虹膜保护云 功能、变现与对比分析
贺利氏展台签下百万美元订单 环保产品与宝虹膜保护云双轮驱动,赢得中国买手青睐
电热管故障排查 从电烤箱跳闸到养生壶罢工的深度解析
如若转载,请注明出处:http://www.zbiris.com/product/